لبخندی زیبا با ارتودنسی لینگوال
ارتودنسی لینگوال یکی از پیشرفته ترین روش های اصلاح نامرتبی دندان ها و ناهنجاری های بایت است که براکت ها و سیم های آن در پشت دندان ها قرار می گیرند و از دید دیگران پنهان می مانند. این روش به افرادی که به زیبایی لبخند خود اهمیت می دهند و نمی خواهند براکت ها جلوی دندانشان دیده شود، امکان می دهد بدون کاهش ظاهر، درمان ارتودنسی خود را انجام دهند. با ارتودنسی لینگوال می توان انواع مشکلات دندانی و بایت، از نامرتبی و فاصله ها تا اوربایت و آندربایت، را به شکلی موثر و قابل اعتماد اصلاح کرد.

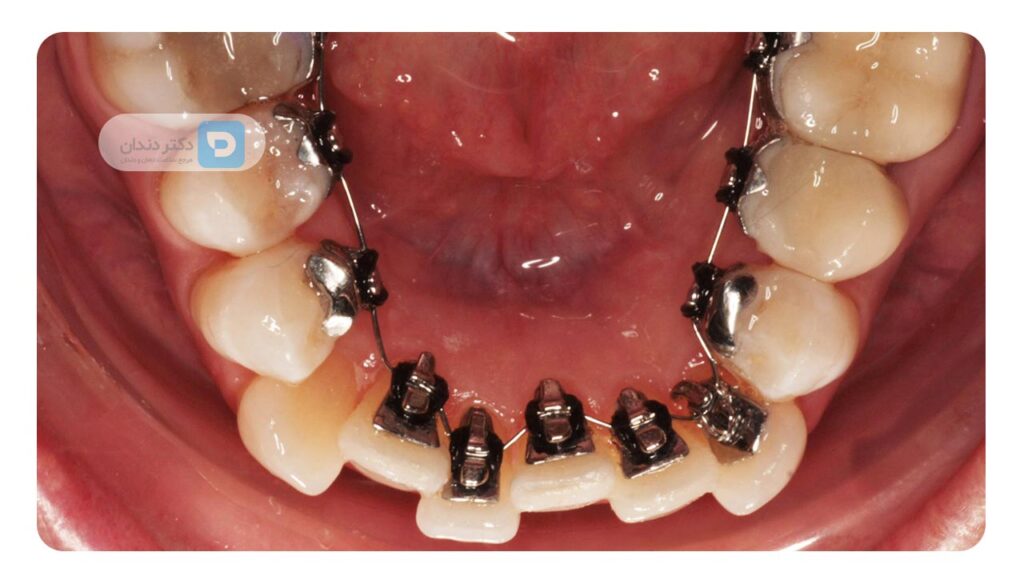
ارتودنسی لینگوال چیست؟
بذارید از خود واژه لینگوال یا (Lingual) شروع کنیم. این یه اصطلاح پزشکی است یا بهتر بگویم دندانپزشکی. لینگوال یعنی در ارتباط با زبان، اطراف زبان، کنار زبان، مرتبط با زبان. ما یک عصب داریم که مسئول عصب دهی به زبان و کف دهان هست و بهش میگوییم عصب لینگوال چون واقعا به زبان ارتباط دارد.
ارتودنسی لینگوال هم، چنین چیزی است. یعنی روشی از درمان که دستگاه های ارتودنسی در ارتباط با زبان یا در نزدیک زبان هستند. ما در ارتودنسی براکت، سیم و سایر اجزا رو داریم که در حال عادی به جلوی دندان ها متصل میشوند. زمانی که براکت و سیم به پشت دندان متصل بشوند و در روبروی زبان قرار بگیرند میگوییم ارتودنسی لینگوال هست. به آن ارتودنسی پشت دندانی یا زبانی هم گفته میشود.
بنابراین سیستم لینگوال همون ارتودنسی ثابت هست فقط به جای اینکه همه چیز به جلوی دندان ها متصل بشوند، در پشت آن ها قرار میگیرند! با این روش شما به مرور زمان دندان هایتان مرتب میشود اما هیچ کسی متوجه نمیشود!

نگاهی به انواع ارتودنسی لینگوال
| نوع ارتودنسی لینگوال | توضیحات | مارکهای معروف |
|---|---|---|
| کامل (Full Lingual) | براکتها پشت تمام دندان ها نصب میشوند | Incognito، iBraces |
| جزئی (Partial Lingual) | فقط روی چند دندان خاص اجرا میشود | بسته به طراحی اختصاصی |
| سفارشی (Custom Lingual) | براکت ها متناسب با فرم دندان های هر فرد ساخته میشوند | Incognito، iBraces، QT |
| خودسازگار (Self-Ligating) | براکت هایی که بدون کش کار میکنند و اصطکاک کمتری دارند | In-Ovation L، STb |
تفاوت ارتودنسی معمولی با لینگوال
بریس های فلزی روی دندان ها نصب میشوند و نصبشان راحت تر است، ولی در لینگوال همه چی پشت دندان است و نصب سخت تر است. هزینه لینگوال هم به خاطر تخصص و زمان بیشتر، بالاتر است. از نظر بهداشت، چون براکت های لینگوال پشت دندان هستند، جلوی دندان ها سالم میماند؛ ولی در ارتودنسی معمولی، احتمال تغییر رنگ جلوی دندان بیشتر است. از نظر زمان، معمولی ها سریع تر جواب میدهند، اما لینگوال یک کم طولانیتر است.
چه کسانی به درد ارتودنسی لینگوال میخورند؟
ارتودنسی لینگوال معمولا گزینه ای ایده آل برای بزرگسالان و نوجوانانی است که تمایل دارند درمان ارتودنسی آن ها کاملا نامرئی باشد. این روش برای اصلاح طیف وسیعی از ناهنجاری های دندانی، از نامرتبی های خفیف گرفته تا موارد متوسط و حتی برخی موارد شدید، کاربرد دارد. افرادی که ظاهر لبخندشان در محیط کاری یا اجتماعی برایشان اهمیت زیادی دارد، می توانند با تشخیص متخصص ارتودنسی از این روش بهرهمند شوند.
ارتودنسی لینگوال چه مشکلاتی را اصلاح می کند؟

می تواند بیشتر ناهنجاری های خفیف تا متوسط دندانی را درمان کند، از جمله:
- نامرتبی دندان ها (Crowding): مرتب سازی دندان هایی که روی هم قرار گرفته اند.
- فاصله بین دندان ها (Spacing): بستن فضاهای خالی بین دندان ها.
- اوربایت یا دیپ بایت خفیف: کاهش هم پوشانی بیش از حد دندان های بالا و پایین.
- آندربایت: اصلاح جلو بودن دندان های فک پایین نسبت به بالا.
- کراس بایت: تنظیم تماس طبیعی بین دندان های بالا و پایین.
- بی نظمی های جزئی دندان های جلو: بهبود ظاهر لبخند در موارد زیبایی.
در موارد پیچیده تر یا ناهنجاری های شدید فکی، معمولا از روش های ترکیبی یا ارتودنسی سنتی استفاده می شود.
ارتودنسی لینگوال برای چه کسانی مناسب نیست؟
با وجود مزایای فراوان ارتودنسی لینگوال، این روش برای همه افراد انتخاب مناسبی نیست. افرادی که دچار ناهنجاری های شدید فکی هستند، دندان های بسیار کوتاه دارند یا به بیماری های فعال لثه مبتلا می باشند، معمولا گزینه های درمانی مناسب تری غیر از ارتودنسی پشت دندانی دارند. همچنین این روش برای کسانی که بهداشت دهان و دندان ضعیفی دارند، حساسیت شدید زبان دارند یا تحمل دوره درمان طولانی تر و هزینه بالاتر را ندارند، توصیه نمی شود. تشخیص نهایی مناسب بودن این روش تنها پس از معاینه تخصصی توسط ارتودنتیست امکان پذیر است.
ارتودنسی لینگوال چه مزایایی دارد؟
- کاملا نامرئی: براکت ها پشت دندان ها قرار می گیرند و در حالت عادی دیده نمی شوند.
- طراحی سفارشی: براکت ها مخصوص هر بیمار ساخته می شوند تا دقت و راحتی بیشتری ایجاد کنند.
- درد و تحریک کمتر ناحیه لب و گونه: چون اجزای فلزی در سطح بیرونی دندان نیستند.
- تاثیر کمتر بر سبک زندگی: مناسب برای افرادی که در جمع یا محیط کاری ظاهرشان اهمیت دارد.
- قابلیت اصلاح مشکلات مشابه ارتودنسی ثابت: از نامرتبی دندان ها تا فاصله یا بایت های خفیف.

تحریک زبان و لثه در ارتودنسی لینگوال
براکت ها و سیم های پشت دندان ها ممکن است در روزهای اولیه باعث ناراحتی شوند:
علائم رایج:
- زخم یا سوزش زبان (به ویژه در ۱–۲ هفته اول)
- تحریک لثه در صورت تماس مستقیم سیم ها یا رعایت نکردن بهداشت
راهکارهای کاهش ناراحتی:
- استفاده از موم مخصوص روی براکت ها
- رعایت دقیق بهداشت دهان و دندان
- مراجعه به متخصص در صورت درد شدید یا التهاب طولانی
معایب ارتودنسی لینگوال چیست؟
- هزینه بالاتر: طراحی سفارشی و نصب پیچیده، هزینه درمان را نسبت به ارتودنسی معمولی افزایش می دهد.
- دشواری در تمیز کردن: براکت ها پشت دندان ها قرار دارند و دسترسی به آن ها سخت تر است.
- تاثیر موقت بر گفتار: ممکن است تلفظ برخی حروف مثل «س»، «ش» و «ف» در هفته های اول کمی دشوار شود.
- تحریک زبان: تماس زبان با براکت ها می تواند باعث زخم یا ناراحتی شود؛ استفاده از موم ارتودنسی کمک کننده است.
- نیاز به تخصص بالا: نصب و تنظیم موفق تنها توسط متخصص باتجربه امکان پذیر است.
- طولانی تر بودن درمان: در مقایسه با ارتودنسی ثابت معمولی، مدت زمان درمان ممکن است بیشتر باشد.
- ضرورت رعایت دقیق بهداشت: حضور منظم در جلسات تنظیم و رعایت بهداشت دهان و دندان برای کاهش عوارض ضروری است.
مراحل انجام ارتودنسی لینگوال
- مشاوره: بررسی نیاز به ارتودنسی لینگوال توسط متخصص.
- طراحی براکت ها: ساخت سفارشی براکت ها مطابق فرم دندان ها.
- نصب: قرار دادن براکت ها پشت دندان ها و اتصال با سیم.
- تنظیمات دوره ای: بررسی و اصلاح حرکت دندان ها در جلسات منظم.
- برداشتن و نگهداری: حذف براکت ها و نصب دستگاه نگهدارنده.
این ها مراحل ارتودنسی لینگوال هستند که به طور کلی برای هر فرد ممکن است کمی متفاوت باشد.
ارتودنسی لینگوال چقدر طول میکشد؟
با این روش می شود دندان ها رو کمی زودتر از روش ارتودنسی ثابت معمولی مرتب کرد. اما اگر بخواییم کلی بگوییم، این روش معمولا بین 1 تا 1.5 سال ممکن است طول بکشد.

آیا ارتودنسی زبانی در ایران و یا مشخصا در تهران انجام میشود؟
به طور کلی باید گفت که این روش درمانی هنوز در ایران چندان رایج نیست. با اینکه در کشورهای دیگر سال هاست انجام میشود، اما در ایران — و حتی در پایتخت — هنوز به شکل گسترده اجرا نمی شود. البته ممکن است چند تا متخصص این درمان رو انجام داده باشند یا هنوز هم انجام بدهند، ولی تعدادشان واقعا خیلی کم است. به همین دلیل، اگر کسی به دنبال ارتودنسی لینگوال در تهران باشد، احتمالا باید بیشتر جست وجو کند و با متخصصان باتجربه تر مشورت داشته باشد.
آیا انجام ارتودنسی لینگوال میتواند یک تجربه خوب برای من باشد؟
بحث درباره ارتودنسی لینگوال در ایران کمی دشوار است، زیرا این روش هنوز به شکل گسترده در کشور اجرا نشده و منابع فارسی محدودی در این زمینه موجود است. همچنین، تعداد افرادی که تجربه این نوع درمان را داشته اند بسیار کم هستند.
با این حال، اطلاعات موجود نشان می دهد که تقریبا تمام ناهنجاری های دندانی را می توان با ارتودنسی لینگوال اصلاح کرد و اکثر افراد می توانند این روش را انجام دهند. با این حال، میزان راحتی درمان برای هر فرد متفاوت است.
به منظور ارائه دیدگاهی واقعی، نظر یک بیمار که درمان لینگوال را در یک کلینیک خارج از کشور تجربه کرده، ترجمه و در اختیار قرار گرفته است. تجربه این فرد می تواند نمایانگر تجربه احتمالی بیماران در ایران در صورت انجام این روش باشد.

تجربه واقعی مراجعی که ارتودنسی زبانی یا پشت دندانی انجام داده است
یکی از مراجعان می گوید سال ها درمان ارتودنسی خود را به تعویق انداخته بود، چون از ظاهر سیم و براکت ها و طول درمان می ترسید و تجربه خوبی از مراجعات قبلی نداشت. پس از شروع ارتودنسی دخترش نزد یک متخصص و آشنایی نزدیک با روند درمان، تصمیم گرفت خودش هم درمان را آغاز کند.
پس از چند جلسه مشاوره و بررسی گزینه های مختلف، با راهنمایی متخصص ارتودنسی، ارتودنسی لینگوال را انتخاب کرد؛ روشی که به دلیل قرارگیری براکت ها در پشت دندان ها کاملا نامرئی بود و برای او به عنوان فردی شاغل اهمیت زیادی داشت.

او می گوید دو هفته اول درمان سخت ترین بخش مسیر بود و به دلیل تماس زبان با براکت ها دچار ناراحتی شد، اما با استفاده از موم ارتودنسی و گذشت زمان، این مشکل بهتدریج برطرف شد. همچنین با رعایت نکات غذایی و مراقبتی، توانست از آسیب به براکت ها جلوگیری کند.

این بیمار اولین تغییرات مثبت را حدود دو ماه پس از شروع درمان مشاهده کرده و اکنون پس از گذشت چند ماه، از انتخاب ارتودنسی لینگوال رضایت دارد و معتقد است نتیجه نهایی ارزش صبر و هزینه این روش را دارد.
کیفیت و ماندگاری نتایج ارتودنسی لینگوال
ارتودنسی لینگوال کیفیت و نتایج مشابه ارتودنسی معمولی دارد، زیرا حرکت دندان ها و اصلاح بایت طبق اصول استاندارد ارتودنسی انجام می شود.
نکات مهم:
- نتایج پایدار هستند اگر پس از پایان درمان از نگهدارنده (ریتینر) استفاده شود.
- رعایت بهداشت دهان و دندان و مراقبت های بعد از درمان باعث افزایش ماندگاری می شود.
- معمولا تغییرات جزئی در موقعیت دندان ها با گذر زمان طبیعی است، اما برگشت قابل توجه نادر است.
چرا متخصصان کمی، درمان لینگوال را انجام می دهند؟
در ایران، مردم زیاد اسم این روش درمانی رو نمیشنوند، چون این تکنیک به طور گسترده انجام نمیشود. حتی در خارج از ایران هم این شیوه چندان رایج نیست! پس نباید فکر کنیم که این نوع درمان یک روش معمولی است.
اولا این روش به تخصص زیادی نیاز دارد و نصب سیم و براکت ها پشت دندان ها کاری زمان بر و سخت است. حالا تصور کنید وقتی روش های دیگر سریع تر و راحت تر انجام میشوند، چرا یک متخصص خودش را به زحمت بیندازد و سیستم پشت دندانی رو نصب کند؟ در واقع، در بیشتر کلینیک ها حتی در خارج از کشور هم تعداد کیس های این نوع درمان به اندازه انگشت های دست هم نیست! بنابراین پیدا کردن بهترین متخصص ارتودنسی لینگوال هم کار ساده ای نیست و باید خیلی دقت کرد.

علت هزینه بالای ارتودنسی لینگوال
- تخصص و تجربه متخصص: مهارت بالای ارتودنتیست در نصب براکت های پشت دندانی تاثیر مستقیم بر هزینه دارد.
- نوع و شدت ناهنجاری دندان: هر چه درمان پیچیده تر باشد، هزینه بالاتر خواهد بود.
- سفارشی بودن براکت ها: براکت های طراحی شده ویژه هر بیمار هزینه بیشتری دارند.
- موقعیت جغرافیایی مطب: شهر و منطقه ارائه خدمات می تواند قیمت را تغییر دهد.
- مدت زمان درمان: طولانی تر بودن دوره درمان باعث افزایش هزینه می شود.
- مواد و فناوری پیشرفته: استفاده از تکنولوژی دقیق و مواد مقاوم هزینه را افزایش می دهد.
در خارج از کشور، مثلا در آمریکا، هزینه ارتودنسی لینگوال معمولا بین 10 تا 13 هزار دلار متغیر است.
برای اینکه دقیق تر از هزینه ها باخبر بشوید، می توانید سری به صفحه “هزینه ارتودنسی دندان” بزنید. ما در آنجا هزینه ها رو به روز و دقیق نوشتیم که بتوانید راحت تصمیم بگیرید.
روش مراقبت از ارتودنسی لینگوال
- مسواک زدن منظم: پس از هر وعده غذایی دندان ها و پشت براکت ها را به دقت مسواک بزنید.
- استفاده از نخ دندان و مسواک بین دندانی: تمیز کردن فضای بین براکت ها و دندان ها برای جلوگیری از پوسیدگی.
- دهانشویه فلوراید: تقویت مینای دندان و کاهش ریسک پوسیدگی.
- پرهیز از خوردن مواد سخت یا چسبنده: جلوگیری از شکستن یا شل شدن براکت ها.
- چکاپ دوره ای: مراجعه منظم به متخصص برای بررسی سلامت دندان ها و تنظیم براکت ها.
توجه: رعایت دقیق بهداشت دهان و دندان نقش کلیدی در موفقیت درمان دارد.
مقایسه ارتودنسی لینگوال با سایر روش های ارتودنسی نامرئی
| ویژگی | ارتودنسی لینگوال | الاینر شفاف (اینویزیلاین) | ارتودنسی دیمون نامرئی |
|---|---|---|---|
| محل قرارگیری | پشت دندان ها | جلوی دندان ها، شفاف | جلوی دندان ها، فلزی یا شفاف |
| نامرئی بودن | کاملا مخفی | تقریبا نامرئی | نیمه نامرئی |
| راحتی در صحبت کردن | ممکن است ابتدا دشوار باشد | راحت تر | راحت تر نسبت به لینگوال |
| راحتی در غذا خوردن | نیاز به مراقبت بیشتر | آسان تر | نسبتا آسان |
| مراقبت و بهداشت | سخت تر | آسان تر | آسان تر |
| درد و ناراحتی | بیشتر در هفته های اول (زبان) | کمتر | کمتر از لینگوال |
| هزینه | بالا | متوسط تا بالا | متوسط تا بالا |
| مدت زمان درمان | 12–24 ماه | 6–18 ماه | 12–24 ماه |
| مناسب برای | بزرگسالان و کسانی که نیاز به ارتودنسی مخفی دارند | اکثر بیماران، به ویژه بزرگسالان | بیماران نیازمند سرعت و راحتی بیشتر |
بهترین متخصص ارتودنسی لینگوال را چگونه انتخاب کنیم؟
- بررسی تجربه و مهارت متخصص
- مشاهده نمونه کارهای گذشته
- حضور در جلسه مشاوره حضوری یا آنلاین
- بررسی مدارک و آموزش های تخصصی
- مطالعه نظرات و بازخورد بیماران
- اطمینان از استفاده از تجهیزات و نرم افزارهای پیشرفته
مطالب پیشنهادی👇
- لیست بهترین متخصص ارتودنسی در تهران
- متخصص ارتودنسی در کرج
- لیست بهترین روش های ارتودنسی
- ۴ مورد از محتمل ترین عوارض ارتودنسی + روش های پیشگیری از آن ها
- منظور از ارتودنسی نامرئی با الاینرهای شفاف چیست؟
- ۴ روش درمان درد ارتودنسی دندان در صورت بروز
- چرا باید برای درمان ارتودنسی دندان، فاصله بین خانه و مطب را حتما لحاظ کنیم؟
جمع بندی
ارتودنسی لینگوال یک روش نامرئی و موثر برای مرتب کردن دندان هاست که پشت دندان ها نصب می شود. این روش نیاز به مراقبت دقیق و متخصص باتجربه دارد و هزینه و زمان بیشتری نسبت به ارتودنسی سنتی دارد. با رعایت بهداشت و پیگیری منظم درمان، می توان نتایج موفق و تجربه راحتی داشت.
سوالات متداول
در روزهای اول ممکن است یک کم احساس ناراحتی یا درد داشته باشید، چون دندان ها به براکت ها عادت نمی کنند. اما بعد از چند روز، این درد کمتر میشود و بیشتر شبیه به فشار ملایم روی دندان هاست.
در ابتدا، ممکن است کمی سخت باشد صحبت کردن، چون براکت ها پشت دندان ها قرار دارند و ممکن است زبان شما به آنها برخورد کند. اما با گذشت زمان، عادت می کنید و راحت تر صحبت می کنید.